AtysCrea collaboration:
http://www.atyscrea.insa-lyon.fr
Domains of application:
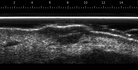
High frequency ultrasound (above 15MHz) allow to probe tissues with submillimeter resolution. It is a promising tool for diagnosis and surgery of skin tumors, for testing procedures in the cosmetic industry and for small animal imaging.
![]() | ![]() |
| Naevus in epidermis, 50MHz | Skin tumor, 50Mhz |
![]() | ![]() |
| Skin layers: epidermis, dermis, subcutaneous tissues, 25MHz | Kidney of a mouse, 25MHz |
Segmentation of tissues:
In all these applications, there is a need for segmentation tools to measure the volumes and sizes of the relevant tissues: tumors, dermis, lesions or organs. Many successful segmentation techniques rely on the link between local scatterers properties and the statistics of the ultrasound image envelope. In particular, the distribution of intensity is known to follow a Rayleigh distribution [Destrempes,Cloutier 2010] in the case of a large number of scatterers by resolution unit volume, and other distributions such as Rician, K-distributions, Nakagami [Anquez, Bloch 2013] have been proposed.
Bayesian segmentation methods based on these distributions have been developped [Sarti, Lamberti 2005, Bernard, Friboulet 2006], and applied to the skin [Pereyra, Tourneret 2012]. These methods are efficient for homogeneous tissues, but many tissue in clinical images are heterogenous. Our goal is to use the statistics of the signal without making any assumption of homogeneity, or any assumption on the exact shape of distributions.
We propose a level-set segmentation method [Delgado Gonzalo Unser 2015, Barbosa Bernard 2012] based on a non-parametric measure of distance between intensity distributions, the Hellinger distance. Thanks to the generality of the framework, the algorithm can be used for a broad range of skin applications. Calling A the region of interest and B the surrounding region, the respective distribution of intensities PA(I), PB(I), the Hellinger distance is defined in relation to the Bhattacharyya coefficient as:

We supplement our scheme with a multiscale approach for an increased speed (factor 1.5-10) compared with a fine-grained approach. For clinical applications it is important that the segmentation algorithm runs effectively using the limited resources of a personal computer.
![]() | ![]() |
| Illustration of the successive contour refinement at different scales | Shape of a segmented tumor in synthetic images. Red: reference volume. Green: results of the segmentation. |
The research conducted in the team on this topic is made in the Labcom AtysCrea, in collaboration with the company Atys Medical, Soucieu-en-Jarrest. Images have been acquired at Level-1 Melanoma Skin Cancer Clinic, Hamilton Hill, Australia. The images are acquired using the Dermcup skin probe 25Mhz/50MHz of the company Atys Medical.
Comparison of non-parametric methods:
We have recently compared the two major sorts of non-parametric segmentation methods, with the surprisingly clear result that log-likelihood methods should be preferred over methods which compare the distributions directly, such as Bhattacharyya coefficient.
A short presentation about this in /sites/default/files/presentation_club3d_2015.pdf





